塔斯娱乐资讯网

“没文化真可怕!”辽宁绥中,一位59岁阿姨去医院做取环手术,几年后拿手机放歌时,

“没文化真可怕!”辽宁绥中,一位59岁阿姨去医院做取环手术,几年后拿手机放歌时,竟听见肚子里传来一模一样的调子!

阿姨当场吓出一身冷汗,认定是医生悄悄在她子宫里安了“微型窃听器”,一纸诉状把医院告上法庭。

去趟医院,体内却多了个偷听玩意儿?这起看似荒诞离谱的医患官司,扒开真相后却让人后背发凉。

当年响应号召,她在体内放置了节育环,熬到绝经期后,规规矩矩听了大夫的劝,跑去当地正规医院做了取出手术。

阿姨下手术台时也没觉得有啥异常,本以为拔掉了身体里的一根刺,谁曾想这竟是她噩梦的开端。

从那以后,阿姨的小腹就像坠着一块生铁,隐隐作痛的感觉如影随形。

发作得狠了,别说下楼买菜,就是站着洗几个碗都疼得直冒虚汗,连带着体重也跟着往下掉。

家里人带着她四处求医问药,彩超拍了一张又一张,就是查不出个明确的病灶。

一来二去,全家人都以为这是上了年纪的“绝经期综合征”,阿姨只能把苦水往肚子里咽,生生熬了好几年。

声音刚起,她猛地察觉肚皮里竟然跟着在震,甚至隐约传出了同频的音乐声!

阿姨惊恐万分,脑子里瞬间闪过几年前那场手术,一口咬定是无良医生给她塞了窃听器。

这钝刀子割肉般的腹痛,绝对是这机器在作怪,换作谁也咽不下这口气!

她的诉求极其硬气:要求院方立马免费剖腹取出“脏东西”,并赔偿这些年误工和精神折磨带来的所有损失。

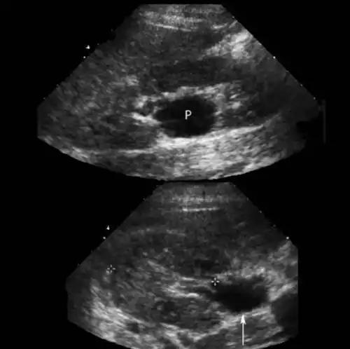
法院接手这案子后也高度重视,立刻启动了极其严谨的司法医学鉴定程序。

但在极其隐秘的角落里,死死嵌着当年没取干净的残余避孕环碎片!

听见肚子唱歌,完全是患者因长期剧烈腹痛,外加声波共振产生的神经性错觉。

法官判决医院必须免费清创取出残留物,并赔偿各项经济与精神损失共计两万余元。

谁知医院方摆明了就是不服,梗着脖子拿出一堆手术器械清点记录,坚称操作合规,直接提起上诉。

法庭调取了阿姨从入院到出院的全部医疗日志、知情同意书,逐字逐句核查手术规范。

最终一锤定音:窃听器虽是幻觉,但院方手术不彻底导致异物残留,与患者多年痛苦有着直接的因果关系!

二审法院毫不留情,直接驳回上诉维持原判,这记司法铁拳砸得院方哑口无言。

阿姨的疑神疑鬼看似一场闹剧,其实撕开了千万适龄女性难以启齿的隐痛。

那个年代的母亲们,默默把冰冷的金属嵌进血肉,老了还要承受器械残留带来的钻心之苦。

医学允许探索中的遗憾,但在常规手术中,面对这些曾为时代扛下重担的女性,哪怕是一丁点的疏忽都不可原谅。

千万别把老人的喊疼当成矫情,及时带长辈复查,才是为人子女最该有的底线。